Book your consultation now

Smile makeovers

Smile makeovers

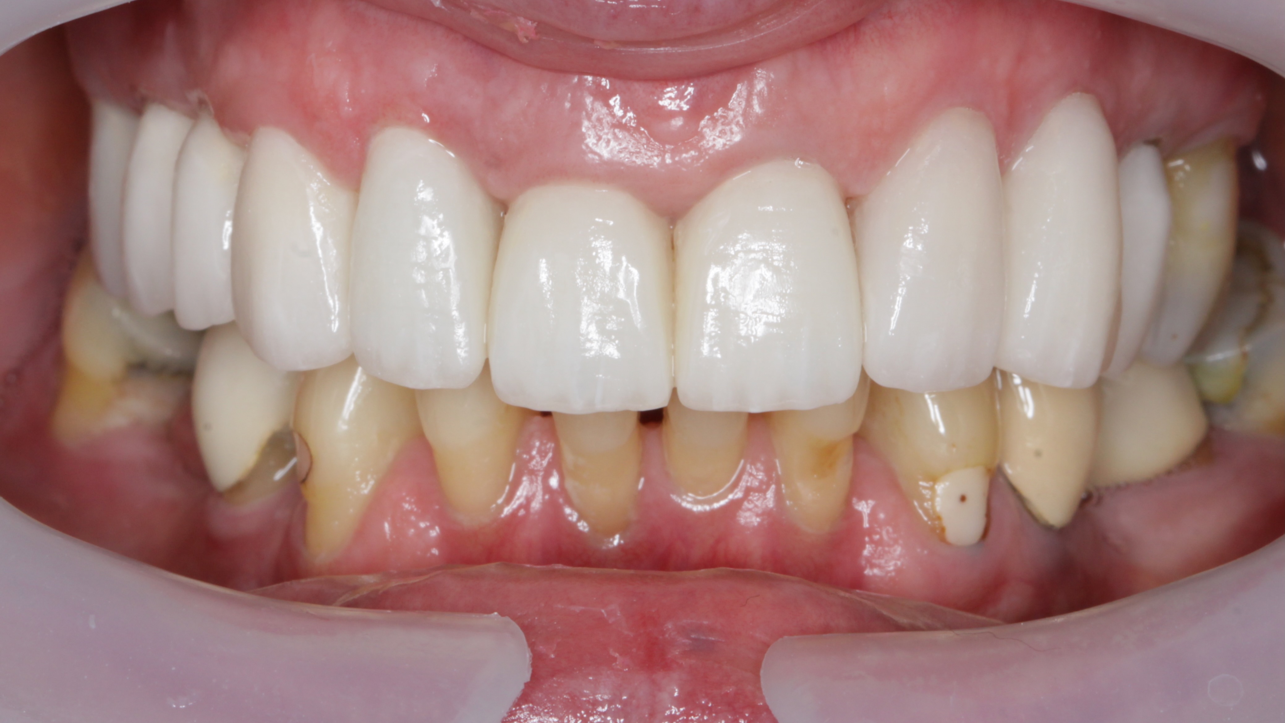
Our gallery shows some of the beautiful smile makeovers carried out by Dentists at Aviva Dentistry. Click on the arrows and drag left to right to see the amazing before and afters.

IMG_5677 IMG_7353
IMG_8876 IMG_9266
IMG_1547 IMG_2643
IMG_9436 IMG_9140
IMG_3706 IMG_3925
_Aviva website - crowns, veneers & bridges - before - smile gallery _Aviva website - crowns, veneers & bridges - after - smile gallery
Aviva website - B&A - veneers to treat excessive gums - before Aviva website - B&A - veneers to treat excessive gums - after
Aviva website - B&A - Crowns in a day - before Aviva website - B&A - Crowns in a day - after
Before & After - 6 Veneers - before Before & After - 6 Veneers - after
B&A - implants, crowns and veneers - before B&A - implants, crowns and veneers - after
Aviva website - B&A - veneers male spacing in a day - before Aviva website - B&A - veneers male spacing in a day - after
Before - Implants, crowns and veneers Aviva website - B&A - crowns, veneers and implants
Cerec BA 2 - before (1) Aviva Cerec 2 afters (1)
Cerec BA 3 - before (1) (1) Cerec BA 3 - after (1) (1)
Cerec BA 4 - before (1) Aviva Cerec 4 afters (1)
Cerec BA 5 - before (1) Aviva Cerec 5 afters
Cerec BA 11 - before (1) Aviva Cerec 11afters (1)
1 (1) Aviva website - B&A - crowns 1
Copy of Aviva Cerec 7 afters (1) Aviva Cerec 7 afters (2) (1)
Aviva Before (1) _Aviva After (2)
Aviva website - B&A - crowns 1 Aviva website - B&A - crowns 1 (1)
1 2 2 2

Patient Reviews

I went in to have my veneers replaced- after 12 years they weren’t looking so great.

From the online consultation, to the same-day procedure (totally painless and stress-free), Aviva were fantastic.

I had 100% confidence in Dr Caplan at all times, and my teeth have never looked better or more natural- there’s no way you could tell they’re veneers at this point which is exactly what I wanted. I’m a very happy customer indeed.

Testimonial icons WRITTEN BY
Amy Richardson, Veneers

Absolutely first class!

Dr Caplan put me at complete ease, and discussed my options without being pushy.

I am over the moon with the results! Would highly recommend.

Tracy Kosmalski WRITTEN BY
Tracy Kosmalski, General Patient

I would recommend this practice as it’s welcoming, it’s modern and the technology Julian uses is the best in the country!

The digital scanner that was used in my mouth to take the impressions of my teeth was painless and quick. It also meant that the imagery went straight to Invisalign and the whole experience was seamless and very fast.

Testimonial icons - Nina WRITTEN BY
Nina Hussey, Invisalign Patient

Everything was done in one day which I think is just amazing! Dr Caplan uses this latest technology, which I think is probably what enables it to be done in one day, painlessly and without discomfort at all.

I came along at about 8 / 8.30 one morning and the whole job was finished by about 4.30/5 o’clock.

I would certainly recommend this practice and I have recommended it to many friends and family because I believe it’s probably the best place to come if you want to improve everything about your teeth from a smile perspective and probably from a medical perspective.

Testimonial icons - Vic Chuntz WRITTEN BY
Vic Chuntz, Smile Makeover - Veneers Patient

“I found it uncomfortable to eat because of two fractured teeth, so I had implants to replace them.

After having the implants I was able to eat again and had no discomfort!

Since then everything has been well, and I have the knowledge that they’ll last for many years.”

Testimonial icons - Roger WRITTEN BY
Roger Talbot, Dental Implants Patient

Brilliant! My disgusting white and metal crown has been removed with no pain, no hassle and replaced with a beautiful looking Cerec crown.

Nervous patient, no reason to be. Proactively going to crown another tooth as the experience was so good.

Lucy Holt WRITTEN BY
Lucy Holt, Crowns Patient Northaw

Book your consultation today

Scroll to top
Verified by MonsterInsights