Book your consultation now

Veneers

Book Your Consultation Now

Achieve the smile of your dreams

Dental veneers are ultra-thin, handcrafted porcelain coverings that are bonded to the front surface of your teeth to enhance their appearance. They are designed to beautifully disguise imperfections such as chips, cracks, gaps, unevenness, or discolouration, creating a more balanced, natural, and confident smile.

Each veneer is individually designed and custom-made to suit your facial features, smile line, and desired aesthetic. At Aviva Cosmetic Dentistry, we always take a minimally invasive approach — if it’s necessary to remove a very thin layer of enamel to ensure the perfect fit, this will be done with the utmost precision and discussed in detail with you beforehand.

Our focus is always on preserving your natural teeth while achieving the most seamless and natural-looking result possible.

Same Day, New Smile

We understand that once you’ve decided to transform your smile, you don’t want to wait — and at Aviva Cosmetic Dentistry, you don’t have to. Thanks to our clinicians’ advanced expertise and the cutting-edge digital technologywe’ve invested in, your brand-new smile with veneers can often be completed in just one day.

Using our in-house CEREC milling system and 3D printing technology, we design, craft, and fit beautiful, natural-looking veneers with exceptional precision — all under one roof. This means no waiting, no multiple appointments, and no temporary veneers — just a seamless, same-day smile transformation.

Unrivalled Expertise

There are only a handful of dental practices in the UK capable of providing same-day, handcrafted veneers — and we’re proud not only to be among them, but to be recognised as one of the very best.

At Aviva Cosmetic Dentistry, our clinicians combine over 20 years of advanced experience with the latest in digital smile design and aesthetic dentistry. Following a comprehensive cosmetic consultation, we take the time to listen carefully to your goals and concerns, designing and crafting veneers that are uniquely tailored to your face, features, and personality.

Whether you’re dreaming of a bright Hollywood smile, a naturally enhanced look, or something perfectly balanced in between, our team has the expertise and artistry to bring your vision to life.

A new smile — designed, crafted, and fitted in just one day.

This treatment is truly unique. Our “Smiles in a Day” approach allows us to transform your smile with veneers or crowns — typically across 6, 8, or 10 teeth — all completed in just one visit.

While most dental practices in the UK and around the world may take 2–3 weeks to complete a smile makeover, our clinicians’ advanced digital expertise and state-of-the-art technology enable us to deliver stunning, same-day resultswith precision and artistry.

At Aviva Cosmetic Dentistry, our clinicians have refined and further developed this innovative technique, combining their mastery of digital smile design, 3D printing, and CAD/CAM milling to create natural, long-lasting results — all in a single appointment.

Their commitment to clinical excellence and minimally invasive care ensures that every patient receives a bespoke smile makeover that looks beautiful, feels natural, and is designed to last.

Please note: “Smiles in a Day” treatment is suitable for selected cases only. Following your consultation, our clinicians will assess your oral health, bite, and treatment goals to determine whether same-day veneers or crowns are the right option for you.

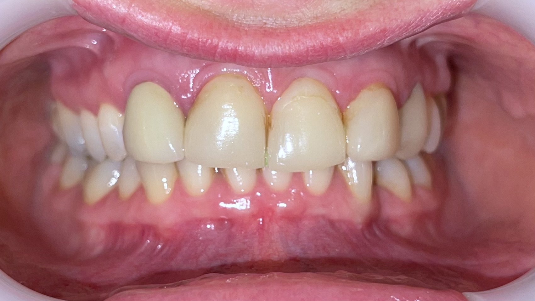
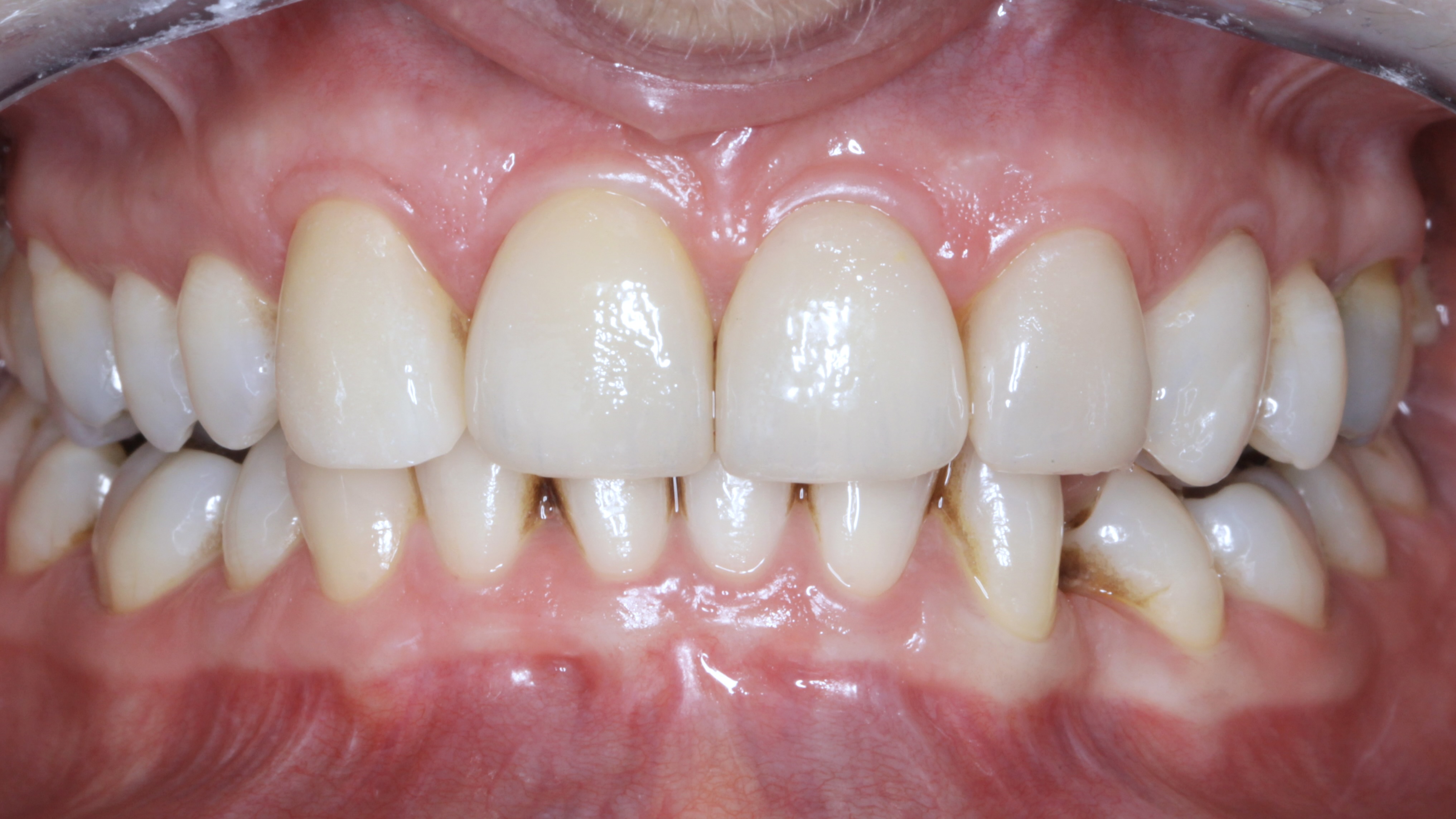
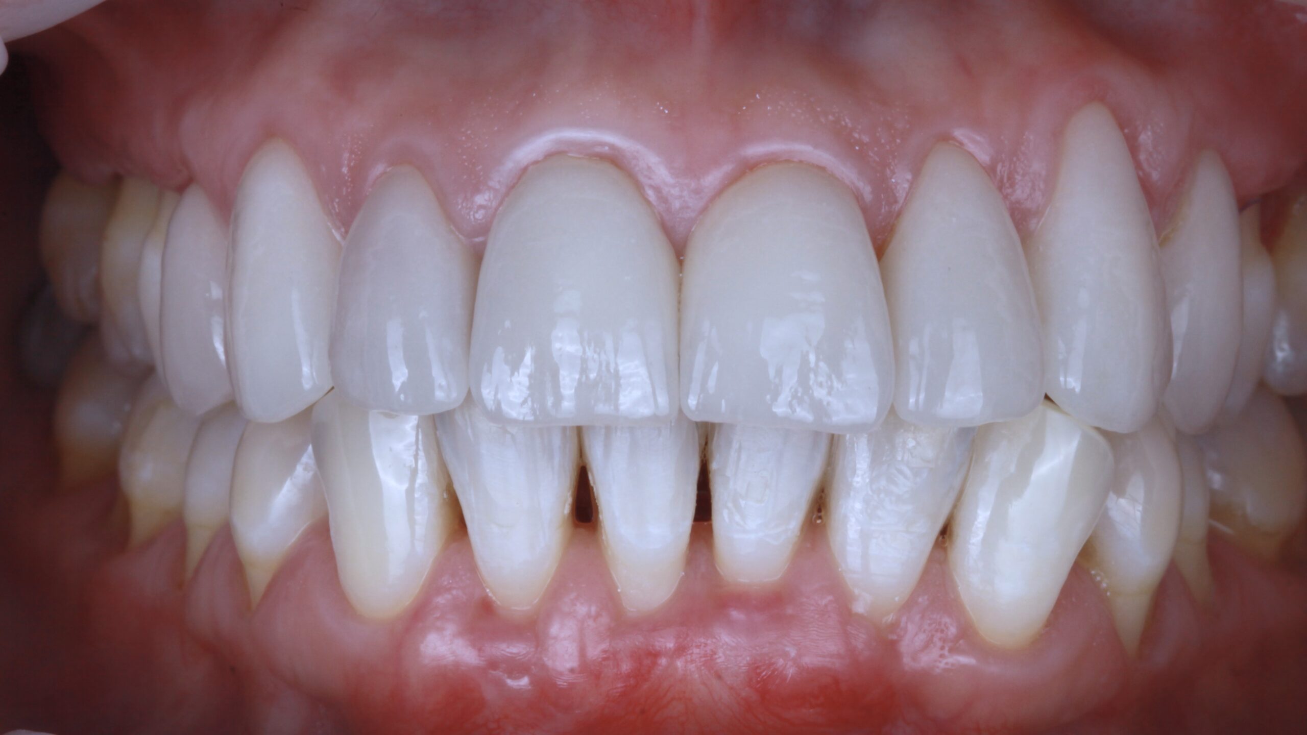
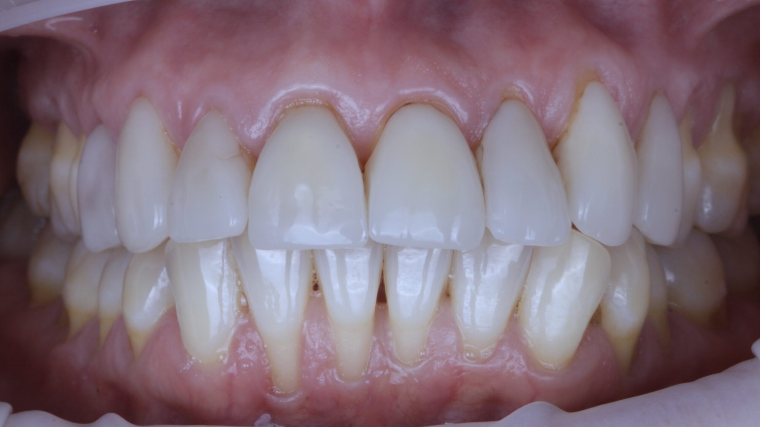
Patient Results

IMG_1547
IMG_2643
IMG_7072 (1)
IMG_2984
IMG_3706
IMG_3925
IMG_5677
IMG_7353
IMG_9436
IMG_9140
IMG_8876
IMG_9274
IMG_8322
IMG_8862
B&A - Cerec veneers - before
B&A - Cerec veneers - after
B&A - crowns, veneers and implants - before
B&A - crowns, veneers and implants - after
Before & After - 6 Veneers - before
Before & After - 6 Veneers - after
Aviva website - B&A - crowns 1 (2)
Aviva website - B&A - crowns 1 (3)
2
1
  • Veneers

    Porcelain
    From £1128 per tooth
  • Veneers

    3 D Printed
    From £747 per tooth
0% Finance Available

Ask the expert

  • Absolutely not — this is a common misconception about veneers. A porcelain veneer is extremely thin, usually around 0.5 mm thick, meaning that only a very small amount of enamel is carefully reshaped to make room for the veneer to fit seamlessly.

    At Aviva Cosmetic Dentistry, we focus on preserving natural tooth structure. Our clinicians are highly skilled in minimally invasive and no-prep veneer techniques, and in many cases, we perform pre-alignment (minor orthodontic treatment) and whitening beforehand. This allows us to optimise the position and colour of your natural teeth, further reducing or even eliminating the need for tooth reduction.

    Our aim is always to achieve a stunning, natural-looking smile while keeping your teeth as healthy and intact as possible.

  • At Aviva Cosmetic Dentistry, we combine artistry with advanced digital technology to transform smiles — sometimes in just a single day. The entire process, from the minimal reshaping of your teeth to the final fitting of your veneers, can often be completed on the same day.

    When laboratory fabrication is required for complex cases, the process may take a little longer, but patients are always provided with beautifully crafted temporary veneers for comfort and aesthetics during this period.

    Our clinicians are pioneers in same-day veneer technology, using state-of-the-art milling and 3D printing systems to design, manufacture, and fit custom veneers on-site. Their advanced skills and experience in digital smile design allow us to deliver highly precise, natural-looking results with exceptional efficiency.

  • Research shows that the average lifespan of dental veneers is around 10 years, though with the right care, they can last significantly longer. At Aviva Cosmetic Dentistry, our highly experienced clinicians use advanced materials, digital design, and minimally invasive techniques to ensure your veneers not only look beautiful but are built to last.

    The longevity of your veneers depends on several factors, including the type of ceramic, your oral hygiene routine, diet, and bite alignment. Thanks to our precision planning and expert bonding methods, many of our patients enjoy their veneers for 12–15 years or more before considering replacement.

    With regular hygiene visits, good home care, and gentle daily habits, your veneers can continue to enhance your smile for many years to come.

  • The black line is caused by a metal substructure underneath old-style crowns. At Aviva Dentistry we only use porcelain which means there is no underlying metal and because of this, you will not have this problem.

Book a virtual consultation

Take advantage of our online consultation to discuss your treatment options and find a plan to suit your needs.

    Please tick the box to confirm that you have read and understood the Privacy Policy.

    Aviva Dentistry

    Patient Reviews

    I went in to have my veneers replaced- after 12 years they weren’t looking so great.

    From the online consultation, to the same-day procedure (totally painless and stress-free), Aviva were fantastic.

    I had 100% confidence in Dr Caplan at all times, and my teeth have never looked better or more natural- there’s no way you could tell they’re veneers at this point which is exactly what I wanted. I’m a very happy customer indeed.

    Testimonial icons WRITTEN BY
    Amy Richardson, Veneers

    Absolutely first class!

    Dr Caplan put me at complete ease, and discussed my options without being pushy.

    I am over the moon with the results! Would highly recommend.

    Tracy Kosmalski WRITTEN BY
    Tracy Kosmalski, General Patient

    I would recommend this practice as it’s welcoming, it’s modern and the technology Julian uses is the best in the country!

    The digital scanner that was used in my mouth to take the impressions of my teeth was painless and quick. It also meant that the imagery went straight to Invisalign and the whole experience was seamless and very fast.

    Testimonial icons - Nina WRITTEN BY
    Nina Hussey, Invisalign Patient

    Everything was done in one day which I think is just amazing! Dr Caplan uses this latest technology, which I think is probably what enables it to be done in one day, painlessly and without discomfort at all.

    I came along at about 8 / 8.30 one morning and the whole job was finished by about 4.30/5 o’clock.

    I would certainly recommend this practice and I have recommended it to many friends and family because I believe it’s probably the best place to come if you want to improve everything about your teeth from a smile perspective and probably from a medical perspective.

    Testimonial icons - Vic Chuntz WRITTEN BY
    Vic Chuntz, Smile Makeover - Veneers Patient

    “I found it uncomfortable to eat because of two fractured teeth, so I had implants to replace them.

    After having the implants I was able to eat again and had no discomfort!

    Since then everything has been well, and I have the knowledge that they’ll last for many years.”

    Testimonial icons - Roger WRITTEN BY
    Roger Talbot, Dental Implants Patient

    Brilliant! My disgusting white and metal crown has been removed with no pain, no hassle and replaced with a beautiful looking Cerec crown.

    Nervous patient, no reason to be. Proactively going to crown another tooth as the experience was so good.

    Lucy Holt WRITTEN BY
    Lucy Holt, Crowns Patient Northaw

    Book your consultation today

    Scroll to top
    Verified by MonsterInsights